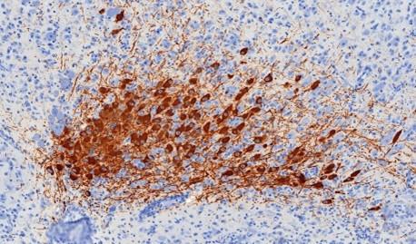
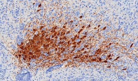
IHC Staining of dopaminergic neurons in the mouse brain
Immunohistochemistry (IHC) or immunofluorescence (IF) are specialized techniques that involve the use of antibodies to detect specific proteins in cells within a tissue section.

Proteins are visualized using either chromogenic detection with a colored enzyme substrate (IHC) or fluorescent detection with fluorescent dyes (IF). These techniques have been widely used for biodistribution and diagnostic studies and as a biomarker of efficacy and toxicity in research and clinical trials. Which technique is best for my study? IHC is usually used to determine the distribution and expression of 1 or 2 target molecules whereas IF staining is used for co-localization studies or for detection of multiple proteins on a section. IHC staining is permanent and does not fade like IF staining. In addition, tissue architecture and morphology are more readily apparent in IHC stained slides, making interpretation easier.

Services offered at the Louise Pelletier Histology Core Facility include: optimization of new antibodies, staining of established antibodies either manually or in our high throughput automatic IHC Bond Immunostainer which has a capacity to run 90 slides a day. If you need to perform co-localization studies, or are interested in the interaction of 2 antibodies on the same slide, we also offer IF staining. Both techniques have been validated and used in formalin-fixed paraffin-embedded tissue, snap-frozen or fixed frozen tissue.

For more information contact pathlab@uOttawa.ca or visit our website.