Un des buts du BCAI est d’éduquer et fournir à nos utilisateurs les informations suffisantes pour améliorer leur compétences de microscopie et optimiser leur imagerie. Sur rendez-vous, le personnel du BCAI est disponible pour fournir des formations et des explications avancées. S’il vous plaît lisez les différentes informations et ressources suggérées ci-dessous.

Techniques du BCAI

L’équipe de la platefome de microscopie est heureuse de partager son expertise pour aider les usagers dans la définition du protocol expérimental. Un minimum de connaissance technique mais également d’optique sont nécessaire pour être en mesure d’utiliser le microscope adéquat et de prendre des images de microscopie de bonne qualité. La capacité d’analyser une image commence par une bonne qualité d’imagerie. Pour de plus amples informations, n’hésitez pas à contacter l’équipe du BCAIpar courriel au cbiacore@uottawa.ca ou en nous visitant au RGN3171.

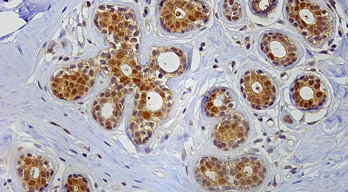
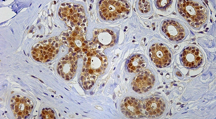
Image  icroscopique champs clair

Champs clair

Dans la microscopie à lumière transmise, les images sont issues de la lumière (d'une lampe halogène) passant à travers l'échantillon. Les « détails » de l'échantillon seront apparents si l'échantillon et le fond modifient de manière différente la phase de la lumière – créant un contraste entre l'échantillon et le fond. Comme les cellules sont principalement composées d'eau (70 %), elles ne modifient pas suffisamment le passage de la lumière pour fournir une bonne partie de l'image. Par conséquent, lorsque l'on veut obtenir l'image d'un échantillon qui est peu visible, le contraste peut être augmenté par la fixation et la coloration histologique de l'échantillon, ou en utilisant les optiques du microscope afin d'accentuer les petites différences dans la phase de la lumière causées par l'échantillon (contraste interférentiel différentiel, contraste de phase, fond sombre).

Image microscopique avec le Contraste interférentiel différentiel (CID)

Contraste interférentiel différentiel (CID)

Dans la microscopie à CID, deux faisceaux de lumière légèrement séparés, polarisés dans un plan, sont utilisés pour créer une image de type 3D de l'échantillon non coloré. Un polariseur, placé juste après la source lumineuse, crée la lumière polarisée dans un plan qui passe à travers un prisme de Wollaston, lequel divise le faisceau en deux faisceaux ayant leur axe de vibration à 90° l'un par rapport à l'autre. Les faisceaux traversent et passent à travers le condenseur pour en ressortir séparés par une petite distance. Les deux faisceaux passent par des parties légèrement différentes de l'échantillon où de petites différences dans les indices de réfraction des composants cellulaires modifient les trajets de leur longueur d'onde de manière différente. Ensuite, les deux faisceaux entrent dans l'objectif et passent dans un autre prisme de Wollaston qui les recombine. Ce second prisme est légèrement décalé par rapport au premier, ce qui crée une différence entre les faisceaux déviés et non déviés. Étant donné que les deux faisceaux passent par des parties légèrement différentes de l'échantillon, ils ont différentes longueurs de trajet; les ondes peuvent donc interférer si elles vibrent dans le même plan. Ensuite, le faisceau combiné passe par un second filtre polarisant qui est de 90 degrés par rapport à l'autre, polarisant ainsi le faisceau bipolaire et permettant à la lumière polarisée combinée d'avoir une interférence négative – cela donne des zones claires et sombres sur l'échantillon.

Image microscopique avec la technique du contraste de phase

Contraste de phase

La microscopie à contraste de phase utilise une butée annulaire dans le condenseur et une plaque de phase à l'intérieur de la lentille de l'objectif – lequel est aligné avec la butée annulaire. Dans cette configuration, la trajectoire de la lumière peut être divisée et chacun des faisceaux séparés passe à travers l'échantillon au même endroit, comme un cône de lumière au point focal. Toute lumière de fond, non déviée par l'échantillon, passera par l'anneau de phase dans la lame de phase et avancera d'un quart de longueur d'onde. La lumière déviée passant à travers l'échantillon est retardée par un quart de longueur d'onde et passe à travers la lame de phase sans passer par l'anneau. Lorsque les faisceaux sont recombinés au cours de la trajectoire de la lumière, les différences de phase des faisceaux déviés et non déviés de lumière deviennent additives et soustractives. L'onde résultante est la somme des deux ondes qui ont les crêtes et les creux opposés les unes aux autres. La différence d'amplitude peut être considérée comme un changement de clarté, puisque la clarté est proportionnelle au carré de l'amplitude. Le résultat net est que les caractéristiques de l'objet sont soit plus claires, soit plus foncées que le fond environnant.

Image microscopique avec la technique de champ sombre

Champs sombre

Avec la microscopie en champs sombre, les rayons lumineux obliques éclairent l'échantillon et ne sont pas transmis directement à travers l'objectif. Seuls les rayons lumineux qui sont diffractés par l'échantillon dans l'ouverture de l'objectif sont collectés, donnant un fond sombre et un échantillon clair.

Contactez-nous

Biologie cellulaire et d'acquisition d'images

Faculté de médecine
University of Ottawa
RGN 4206 & RGN 3111
451 Smyth Road
Ottawa, ON K1H 8M5

cbiacore@uottawa.ca

Qui contacter?

Directeur de la plateforme
John W.R. Copeland, PhD
Téléphone: 613-562-5800 ext. 8641

jcopelan@uottawa.ca

Specialiste en Microscopy Senior et Gestionnaire de la plateforme
Chloë van Oostende-Triplet, PhD
Phone: 613-562-5800 ext. 8376

cbiacore@uottawa.ca