La plateforme technologique Centre d’imagerie préclinique (CIPC) abrite de l’équipement fournissant une gamme d’applications pour l’imagerie structurelle et fonctionnelle chez les petits rongeurs vivants ainsi que des études ex vivo et in vitro.

VEVO-2100 (en anglais seulement)

Notre système 

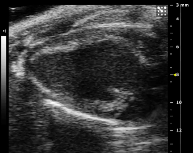
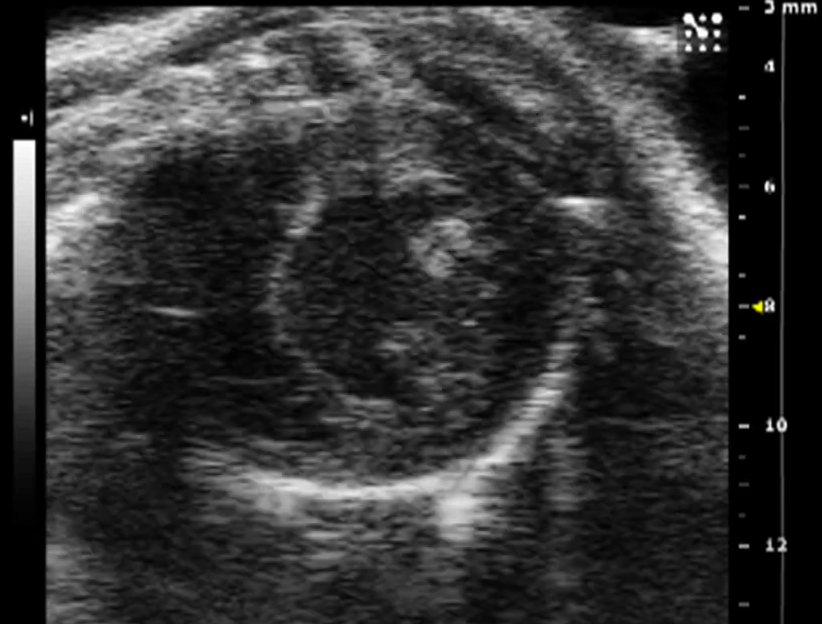
PCIC houses the ultrasound Vevo 2100 (Fujifilm Visualsonics Inc.). This unique technology allows acquiring real time images with high resolution for structural and functional imaging. It is perfect for assessing heart anatomy and function (echocardiography) in mice and rats. Transducers ranging from 13 to 55 MHz are available for imaging of vascular tumors (up to 14mm) to large tumors (<250g) along cardiovascular imaging. Multiple modes allow for additional analysis of blood flow and pressure. 

Vevo 2100 brochure (pdf, 857.56 KB)

VEVO 2100 instrument

Examples of ultrasound images (blood flow analysis) acquired by our Vevo 2100

Exemples d'images ultrason (analyse du flux sanguin) acquises par notre Vevo 2100

Iconeus One (fUS) (en anglais seulement)

PCIC is excited to welcome in the next few months a new member of the imaging equipment: Iconeus One by Iconeus (France). This functional ultrasound is designed to monitor brain activity in awake and moving animals in real-time. The system allows collecting data about cerebral blood flow in 2D and 3D sections of brain in short time. Iconeus One offers high spatial resolution (100 µm), high temporal resolution (100 ms), and high sensitivity (about 100 times higher than conventional ultrasound systems).

Functional ultrasound can be applied in neuroscience, including fundamental brain research, drug development, and other (Applications of fUS brain imaging - Iconeus).

Discover this coming technology!

For more information visit Iconeus One brain imaging system - Iconeus

IconeUs one equipment