Our services

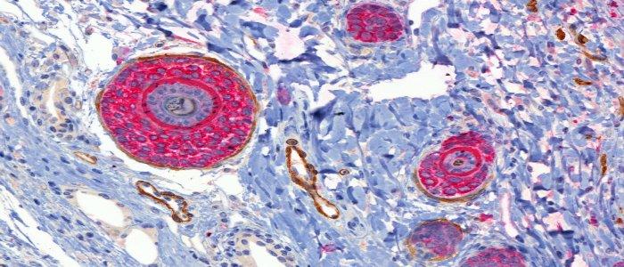
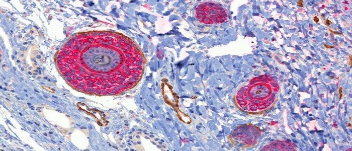
Double labelling by chromogenic IHC in mouse skin
  • Paraffin processing, embedding and sectioning
  • Freeze and OCT embed fresh/fixed tissue
  • Frozen sectioning
  • Routine and special stains
  • Chromogenic and fluorescent staining
  • Digital whole slide scanning
  • TMA Construction

Training and education

Training

Microtome and Cryostat Training

Training on HCF equipment is required to ensure the safety of users, prevent equipment damage and optimize results. There is a fee for training all new users on the equipment. Individuals who have used similar equipment at other institutions will be required to take a refresher course before using the equipment.

Registration for new users and for booking time on the equipment is done throughthe Infinity software

​​​Education

HCF provides training, education and assistance with course content and set-up for first and second year medical students and graduate students. We participate in the Faculty of Medicine program that provides high school student tours throughout the year.

Our dedicated staff are currently working on developing workshops for Histology, Special Stains and Immunohistochemistry staining.

Consultation

We would be happy to meet and discuss your project in more detail. Please contact pathlab@uOttawa.ca to schedule a meeting. We are available for:

  • Protocol Development
  • Preliminary Costing Services
  • Technical Information

In coordination with the Experimental Pathology group within the Department of Pathology and Laboratory Medicine, we can also provide expert advice in experimental design and tissue analysis. Pathology consultations are available upon request, see the Experimental Pathology website for more details. 

Services Offered by Partner Institutions

Dr. Ian Lorimer and the CBIA Core Facility provide training on the Zeiss Axio Scan Z.1 scanner which is housed in the Ottawa Hospital's Centre for Innovative Cancer Research. The scanner is available to users who prefer to scan their own slides (Brightfield and Fluorescent). Please contact cbiacore@uOttawa.ca for more information.

Contact us

Pathology and Laboratory Medicine - Louise Pelletier Histology Core Facility

Roger Guindon Building, Room 4145 
451 Smyth Road
Ottawa, Ontario, K1H 8M5
Lab Phone: 613-562-5800 ext. 8332
pathlab@uOttawa.ca
Location

Hours of operation

Monday to Friday
9:00 am to 5:00 pm

Ana Giassi

Operations Manager
Phone: 613-562-5800 ext.8338
pathlab@uOttawa.ca