The core houses the Ottawa region’s only high-field small-animal MRI machine (7.0 Tesla Discovery MR901 System from Agilent Technologies / General Electric).

Our system

The core houses the Ottawa region’s only high-field small-animal MRI machine (7.0 Tesla Discovery MR901 System from Agilent Technologies / General Electric). There are only about 10 such machines in all of Canada offering a unique opportunity to take advantage of this resource and gain an advantage in your manuscript content. 

The MRI system is equipped with a 7.0 T, 310 mm diameter horizontal-bore superconducting magnet interfaced with General Electric 's Signa HDx platform. The system provides high quality and robust pre-clinical MRI research capabilities with a variety of imaging contrasts and quantitative assessments. PCIC provides a service to address a broad range of researchers' needs, from live animal imaging to specimen investigations and contrast agent characterization to material and plant research. 

The imaging is performed using a strong 300 mT/m (30 Gauss/cm) gradient system (210 mm inner diameter) equipped with 2nd-order shim capability. A wide range of radio frequency probes (coils) are available, ranging from animal full body volume coils to dedicated, actively decoupled receive coils for mouse and rat brain. Systems for physiological monitoring and animal handling are also available. The MRI spectrometer is equipped with X-nuclei capabilities. 

MRI machine

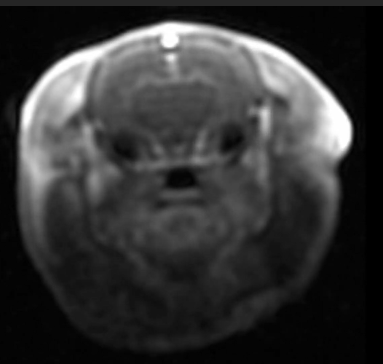
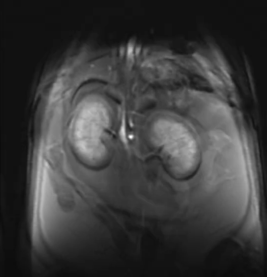
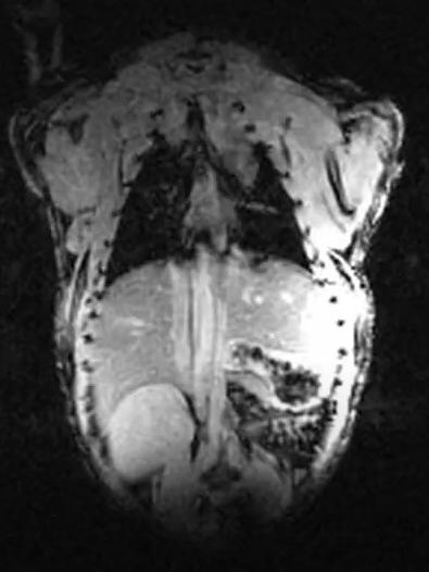
Examples of images acquired by our 7T MRI

MRI images of rat spine, brain tumor, fat imaging and mouse in-utero