Nos services

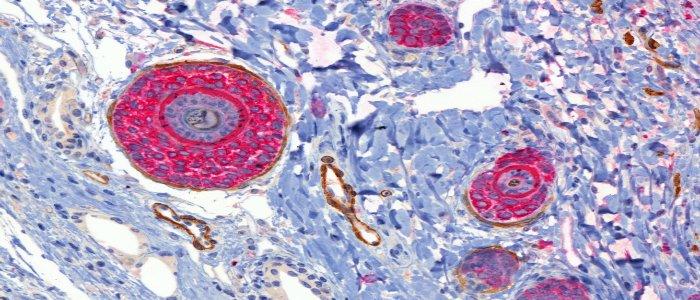
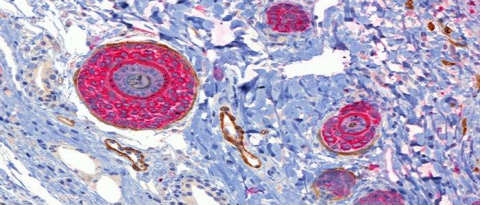
Double marqueur chromogène immunohistochimique dans la peau d’une souris
  • Traitement, inclusion et coupe en paraffine
  • Inclusion et coupe de tissus congelés
  • Colorations courantes et particulières
  • Coloration par immunohistochimie chromogène et fluorescente
  • Balayage de lames
  • TMA Construction

Formation et éducation

Formation

Formation au microtome et au cryostat

La formation à l’utilisation du matériel des services techniques d’histologie est nécessaire pour veiller à la sécurité des utilisateurs, prévenir les dommages au matériel et optimiser les résultats. Les utilisateurs qui se servent du matériel pour la première fois devront s’acquitter de frais de formation. Les personnes qui ont utilisé des dispositifs similaires à d’autres établissements devront suivre une formation de rappel avant de se servir du matériel.

L’inscription des nouveaux utilisateurs et les réservations de matériel doivent se faire sur Infinity.

Lien de connexion

​​​Éducation

La plateforme technologique d’histologie offre une formation, une éducation et une assistance pour le contenu des cours, ainsi que la mise en place pour les étudiants de première et deuxième année en médecine et pour les étudiants aux études supérieures. Tout au long de l’année, nous participons au programme de visites de la Faculté de médecine destiné aux étudiants du secondaire. Notre équipe dévouée travaille actuellement à mettre au point des ateliers portant sur l’histologie, les colorations spéciales et la coloration par immunohistochimie.

Consultation

Nous serons heureux de vous rencontrer et de discuter plus amplement de votre projet. Veuillez contacter pathlab@uottawa.ca pour convenir d’une rencontre. Nous sommes disponibles pour :  

  • la mise en place de protocoles,
  • des services préliminaires d'établissement des coûts,
  • des informations techniques.

En coordination avec le groupe de pathologie expérimentale au sein du Département de pathologie et de médecine de laboratoire, nous pouvons aussi fournir des avis d’experts dans le cadre de conceptions expérimentales et l’analyse de tissus. Les consultations en pathologie sont disponibles sur demande. Veuillez consulter le site Web du groupe d’Expérimentation pathologique pour davantage de détails.

Services offerts par les établissements partenaires

Le Dr Ian Lorimer et la plateforme technologique de biologie cellulaire et d’acquisition d’images (BCAI) offrent une formation sur le scanner Zeiss Axio Scan Z.1, qui se trouve au nouveau Centre de recherche novatrice sur le cancer de L’Hôpital d’Ottawa. Le scanner est disponible pour les utilisateurs qui préfèrent numériser leurs propres lames (en champ clair et en fluorescence). Veuillez communiquer avec cbiacore@uottawa.ca pour obtenir de plus amples informations.

Contactez-nous

Plateforme technologique d’histologie Louise Pelletier

Pavillons Roger-Guindon, salle 4145
451 chemin Smyth
Ottawa, Ontario, K1H 8M5
Téléphone: 613-562-5800 poste 8332
pathlab@uOttawa.ca
Location

Heures d’ouverture

Du lundi au vendredi
De 9 heures à 17 heures

Ana Giassi

Directrice des opérations
Phone: 613-562-5800 ext.8338
pathlab@uOttawa.ca